-
목차
안녕하세요! 오늘은 ‘폐렴’의 증상에 대해 자세히 알려드릴게요
요즘처럼 일교차가 크고 면역력이 떨어지기 쉬운 계절에는
감기나 독감 뒤에 폐렴으로 악화되는 경우도 많습니다.
특히 노약자, 만성질환자, 어린아이에게는 치명적일 수 있죠.오늘은 초기에 알아두면 생명을 지킬 수도 있는
폐렴의 주요 증상 10가지를 아주 상세히 알려드릴게요.
마지막엔 간단한 주의사항도 덧붙였습니다!





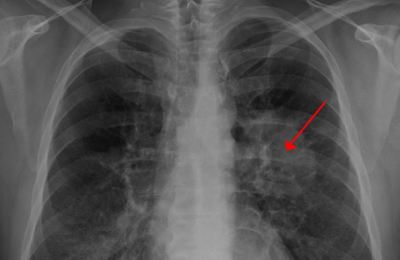
폐렴 증상 폐렴 증상
1. 고열 또는 저체온
폐렴은 일반적인 감기와 달리 **갑작스럽고 높은 열(38.5도 이상)**이 나거나
노약자의 경우 오히려 체온이 떨어지는 저체온증이 나타날 수 있습니다.
열이 며칠간 지속되거나 해열제를 써도 잘 떨어지지 않는 경우 특히 주의해야 합니다.2. 심한 기침과 누런 가래
폐렴이 생기면 기침이 하루 종일 멈추지 않고,
노란색 또는 녹색 점액 가래가 함께 나오는 경우가 많습니다.
기침 소리가 거칠거나 쌕쌕거리는 경우도 있습니다.





폐렴 증상 3. 호흡 곤란 및 숨 가쁨
폐에 염증이 생기면 산소 교환이 어려워져
숨이 차고 가슴이 조이는 느낌,
또는 평소보다 가쁜 숨, 짧은 호흡이 나타날 수 있어요.
계단을 오르거나 평소보다 조금만 움직여도 숨이 찰 수 있습니다.4. 흉통(가슴 통증)
기침하거나 숨을 깊게 쉴 때 가슴, 특히 흉부에 찌르는 듯한 통증이 발생할 수 있습니다.
이는 염증이 **늑막(폐를 감싸는 조직)**까지 퍼졌기 때문이에요.





폐렴 증상 5. 심한 오한과 몸살
열이 오르내리며 심한 오한, 몸이 덜덜 떨리는 느낌,
그리고 근육통과 관절통이 함께 나타날 수 있습니다.
감기보다 통증이 깊고 전신 증상으로 더 심하게 나타나는 경우가 많습니다.6. 피로감 및 무기력증
몸이 바이러스나 세균과 싸우는 상태라
평소보다 극심한 피로와 무기력감을 느끼게 됩니다.
침대에서 하루 종일 누워만 있고 싶을 정도의 탈진감이 나타나기도 해요.





폐렴 증상 7. 식욕 저하 및 체중 감소
식욕이 급격히 떨어지고,
며칠 사이에 식사를 거의 못 하면서 체중이 눈에 띄게 감소하는 경우도 있습니다.
영양 섭취 부족으로 회복 속도도 더딜 수 있습니다.8. 혼란, 의식 저하 (특히 노인층)
고령자에게 폐렴은 감기처럼 가볍게 시작될 수 있지만,
갑작스러운 방향감각 상실, 기억력 저하, 혼동 증세로 나타나는 경우가 많습니다.
이는 뇌로 가는 산소 공급이 줄어들기 때문입니다.





폐렴 증상 9. 입술이나 손끝이 푸르스름하게 변색 (청색증)
산소 포화도가 낮아지면서
입술, 손톱, 발끝이 보랏빛 또는 푸르스름하게 변하는 청색증이 생길 수 있습니다.
이는 폐렴이 상당히 진행된 상태일 수 있으므로 응급 상황입니다.10. 구토, 설사 등 소화기 증상
특히 소아나 노약자에게서 구토, 설사, 복통 같은 비호흡기 증상으로도 나타날 수 있습니다.
그래서 단순 배탈로 오인하기 쉬워 정확한 진단이 중요합니다.





폐렴 증상 주의사항
- 면역력이 약한 분, 만성 질환자, 65세 이상 노인, 유아는 폐렴 예방접종을 고려하세요.
- 폐렴 증상은 초기에 감기와 유사하지만, 증상이 오래가고 점점 심해지면 병원 방문 필수입니다.
- 조기 진단과 적절한 항생제 치료로 대부분 완치 가능하지만, 방치 시 합병증 위험이 큽니다.
폐렴은 단순한 감기와 달리
빠르게 진행되고 생명까지 위협할 수 있는 질환입니다.
특히 요즘처럼 날씨 변화가 심한 시기엔
초기 증상을 예민하게 감지하는 것이 무엇보다 중요하죠.오늘 알려드린 10가지 증상 중
하나라도 자주 반복되거나 오래 지속된다면
꼭 병원을 방문해 정확한 진단을 받아보세요.건강은 아무리 강조해도 지나치지 않으니까요 😊
읽어주셔서 감사합니다!
다음에도 실용적인 건강 정보로 다시 찾아올게요!카무트효소 효능
안녕하세요! 오늘은 슈퍼곡물과 효소의 만남, **‘카무트 효소’**의 놀라운 효능에 대해 알려드립니다요즘 건강식품 시장에서 조용히 주목받고 있는 원료가 바로‘카무트(Kamut)’라는 고대 곡
enroska.ehsaksgdl.com
뇌경색 초기증상
오늘은 뇌 건강에 있어 매우 중요한 '뇌경색'의 초기 증상에 대해 알아보려고 합니다. 뇌경색은 뇌로 가는 혈류가 갑자기 차단되어 뇌세포가 손상되는 심각한 질환으로, 조기에 발견하고 빠르게
enroska.ehsaksgdl.com
전립선암 초기증상 및 주의사항
오늘은 남성 건강에서 중요한 질환 중 하나인 '전립선암'의 초기 증상에 대해 알아보려고 합니다. 전립선암은 초기에는 특별한 증상이 나타나지 않아 방치하기 쉽지만, 조기에 발견하고 관리하
enroska.ehsaksgdl.com